Göz Kapağı Düşmesi Neden Olur

Goz Kapagi Dusuklugu Hastalik Belirtisi Mi Saglik Haberleri

Goz Kapagi Dusuklugu Hastalik Belirtisi Mi Saglik Haberleri

Goz Kapagi Dusuklugu Hastalik Belirtisi Mi Saglik Haberleri

Goz Kapagi Dusuklugu Hastalik Belirtisi Mi Saglik Haberleri

Goz Kapagi Dusuklugu Icin Dogal Oneriler Guzellik Haberleri

Goz Kapagi Dusuklugu Icin Dogal Oneriler Guzellik Haberleri

Tek Tarafli Goz Kapagi Dusmesi Pitozis Prof Dr Orhan Sen

Tek Tarafli Goz Kapagi Dusmesi Pitozis Prof Dr Orhan Sen

Goz Kapagi Dusuklugu Icin Dogal Tedavi Ve Egzersizler Youtube

Goz Kapagi Dusuklugu Icin Dogal Tedavi Ve Egzersizler Youtube

Goz Kapagi Dusuklugu Nedir Nedenleri Nelerdir Bilgiustam

Goz Kapagi Dusuklugu Nedir Nedenleri Nelerdir Bilgiustam

Goz Kapagi Dusuklugu Nedir Nedenleri Nelerdir Bilgiustam

Her yıl binlerce kişi daha genç görünmek ve düşük göz kapaklarını kaldırmak için estetik uygulamalar yaptırıyor.

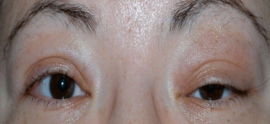
Göz kapağı düşmesi neden olur. Diyabet ve yüksek tansiyon göz kapağı düşüklüğüne neden olabilir. Göz kapağı düşüklüğü estetik görünüm açısından pek çok insanı rahatsız etse de genellikle tedavi yoluna gidilmemektedir. Bu düşük göz kapağı için kullanılan tıbbi bir terimdir. çeşitli nedenlere bağlı olarak doğuştan var olan veya sonradan gelişen göz kapağının gözün renkli kısmını bir milimetreden daha fazla bir uzunlukta örtecek şekilde düşük olması şeklinde görülen bir sağlık sorunudur gözlerden yalnızca bir tanesinde veya her iki gözde birden görülmesi söz konusu olabilen göz kapağı.

Ancak bu sorunu evlerinde halledebilecekler. Göz kapağı düşüklüğüne yol açan nörolojik nedenler arasında. Tevfik ecder duration. Yani alt göz kapağının sarkmasını ifade etmez.

Göz kapağının düşmesi problemi şiddetli ise bu durum bazen görmenizi etkileyebilir. Göz kapağını kaldırmakla görevli sinirin diyabet ve hipertansiyona bağlı olarak hasarlanması ya da kafa içindeki seyri sırasında oluşan basılar sinir kas kavşağındaki birtakım. Göz kapağı şişkinliğinin neden olduğu hastalıklar prof. Göz kapağında meydana gelen bu sarkmanın tedavisi ameliyatla beraber yapılabilmektedir.

Göz kapağı düşüklüğü gözün kapağının gözün alt kapağına doğru düşmesi şeklidir. Sadece üst göz kapağı düşüklüğü anlamına gelir. Göz kapağı düşüklüğü nedir neden olur acıbadem sağlık grubu. Göz kapaklarındaki düşüklükler estetik bir sorun gibi düşünülse de beyin ve sinirleri etkileyen önemli rahatsızlıklardan kaynaklanabilir göz kapağı düşmesi nedenleri.

Goz Kapagi Dusuklugu Nedir Goz Kapagi Dusuklugu Neden Olur

Goz Kapagi Dusuklugu Nedir Goz Kapagi Dusuklugu Neden Olur

Goz Kapagi Dusuklugu Nedir Goz Kapagi Dusuklugu Tedavisi Saglik Haberleri

Goz Kapagi Dusuklugu Nedir Goz Kapagi Dusuklugu Tedavisi Saglik Haberleri

Goz Kapagi Dusuklugu Hastalik Belirtisi Mi Saglik Haberleri

Goz Kapagi Dusuklugu Hastalik Belirtisi Mi Saglik Haberleri

Goz Kapagi Dusuklugu Nedenleri Ve Tedavisi Kadin Com

Goz Kapagi Dusuklugu Nedenleri Ve Tedavisi Kadin Com

Goz Kapagi Dusuklugu Deyip Gecmeyin Saglik Haberleri

Goz Kapagi Dusuklugu Deyip Gecmeyin Saglik Haberleri

Goz Kapagi Dusuklugu Ne Dikkat Istanbul Haberleri

Goz Kapagi Dusuklugu Ne Dikkat Istanbul Haberleri

Bebeklerde Ve Cocuklarda Goz Kapagi Dusuklugune Dikkat Son Dakika Saglik Haberleri

Bebeklerde Ve Cocuklarda Goz Kapagi Dusuklugune Dikkat Son Dakika Saglik Haberleri

Goz Kapagi Dusuklugu Nedenleri Ve Tedavisi Kadin Com

Goz Kapagi Dusuklugu Nedenleri Ve Tedavisi Kadin Com

Pitozis Goz Kapagi Dusuklugu

Pitozis Goz Kapagi Dusuklugu

Cocuklarda Goz Kapagi Dusuklugune Dikkat Cocuk Haberleri

Cocuklarda Goz Kapagi Dusuklugune Dikkat Cocuk Haberleri

Goz Kapagi Dusuklugu Neden Olur Milat Gazetesi

Goz Kapagi Dusuklugu Neden Olur Milat Gazetesi

Goz Kapagi Cerrahisi Gerektiren 4 Neden Saglik Rehberi

Goz Kapagi Cerrahisi Gerektiren 4 Neden Saglik Rehberi

Goz Kapak Dusuklugu Gencleri Vuruyor Demokrat Gazetesi Balikesir

Goz Kapak Dusuklugu Gencleri Vuruyor Demokrat Gazetesi Balikesir

Goz Kapak Estetigi Okuloplasti Ankasu Goz Hastanesi

Goz Kapak Estetigi Okuloplasti Ankasu Goz Hastanesi

Goz Kapagi Dusuklugu Ameliyatsiz Tedavi Edilebiliyor

Goz Kapagi Dusuklugu Ameliyatsiz Tedavi Edilebiliyor

Cocuklarda Goz Kapagi Dusuklugune Dikkat Cocuk Haberleri

Cocuklarda Goz Kapagi Dusuklugune Dikkat Cocuk Haberleri

Goz Kapagi Dusuklugu Neden Olur Ajans5

Goz Kapagi Dusuklugu Neden Olur Ajans5

Dikkat Eger Goz Kapagi Dusuklugu Yasiyorsaniz

Dikkat Eger Goz Kapagi Dusuklugu Yasiyorsaniz

Goz Kapagi Dusuklugu Gorme Kaybina Neden Olabiliyor Istanbul Haberleri

Goz Kapagi Dusuklugu Gorme Kaybina Neden Olabiliyor Istanbul Haberleri

Goz Kapagi Dusuklugu Ameliyat Com

Goz Kapagi Dusuklugu Ameliyat Com

Goz Kapagi Dusuklugu Nedir Neden Olur

Goz Kapagi Dusuklugu Nedir Neden Olur

Goz Kapagi Dusuklugu Doc Dr Fatih C Gundogan Kayseri

Goz Kapagi Dusuklugu Doc Dr Fatih C Gundogan Kayseri

Goz Kapagi Dusuklugu Neden Olur

Goz Kapagi Dusuklugu Neden Olur

Goz Kapagi Sismesi Nasil Gecer Goz Kapagi Sismesi Neden Olur Ne Iyi Gelir Saglik Son Dakika Haberler

Goz Kapagi Sismesi Nasil Gecer Goz Kapagi Sismesi Neden Olur Ne Iyi Gelir Saglik Son Dakika Haberler

Goz Kapagi Dusuklugu Doc Dr Fatih C Gundogan Kayseri

Goz Kapagi Dusuklugu Doc Dr Fatih C Gundogan Kayseri

Goz Kapak Dusuklugu Gencleri Vuruyor Saglik Haberleri

Goz Kapak Dusuklugu Gencleri Vuruyor Saglik Haberleri

Op Dr Kaya Goz Kapagi Dusuklugu Sorunu Gorme Kalitesini De Bozabilir

Op Dr Kaya Goz Kapagi Dusuklugu Sorunu Gorme Kalitesini De Bozabilir

Orbita Lakrimal Sistem Ve Goz Kapagi Cerrahisi Nedir

Orbita Lakrimal Sistem Ve Goz Kapagi Cerrahisi Nedir

Goz Kapagi Dusuklugu Nedenleri Ve Tedavisi Tatli Portal

Goz Kapagi Dusuklugu Nedenleri Ve Tedavisi Tatli Portal

Goz Kapagi Dusuklugu Neden Olur Goz Kapagi Dusuklugu Belirtileri

Goz Kapagi Dusuklugu Neden Olur Goz Kapagi Dusuklugu Belirtileri

Op Dr Tuncer Guney Okuloplasti

Op Dr Tuncer Guney Okuloplasti

Tek Tarafli Goz Kapagi Dusuklugu Neden Olur Etkileyen Faktorler

Tek Tarafli Goz Kapagi Dusuklugu Neden Olur Etkileyen Faktorler

Goz Kapagi Dusuklugu Nedir Neden Olur Youtube

Goz Kapagi Dusuklugu Nedir Neden Olur Youtube

Goz Kapagi Sismesi Nedenleri Ve Tedavi Yontemleri Goz Kapagi Dusmesi

Goz Kapagi Sismesi Nedenleri Ve Tedavi Yontemleri Goz Kapagi Dusmesi

Goz Kapagi Dusuklugu Hastalik Habercisi Olabilir Antalya Ekspres

Goz Kapagi Dusuklugu Hastalik Habercisi Olabilir Antalya Ekspres

Blefaroplasti Goz Kapagi Ameliyati Nedir Yucelen Hastaneleri

Blefaroplasti Goz Kapagi Ameliyati Nedir Yucelen Hastaneleri

Goz Kapagi Dusuklugu Evde Nasil Tedavi Edilir Evde Nasil Yapilir Saglik Dusuk Gozler Saglik Bakim

Goz Kapagi Dusuklugu Evde Nasil Tedavi Edilir Evde Nasil Yapilir Saglik Dusuk Gozler Saglik Bakim

Goz Kapagi Dusuklugu Neden Olur Tedavisi Var Mi Saglik Haberleri

Goz Kapagi Dusuklugu Neden Olur Tedavisi Var Mi Saglik Haberleri

Goz Kapagi Dusuklugu Buyuk Kucuk Ayirt Etmiyor

Goz Kapagi Dusuklugu Buyuk Kucuk Ayirt Etmiyor

Pitozis Goz Kapagi Dusuklugunun Nedenleri Ve Tedavileri

Pitozis Goz Kapagi Dusuklugunun Nedenleri Ve Tedavileri

Goz Kapagi Dusuklugu Hastalik Belirtisi Mi Saglik Haberleri

Goz Kapagi Dusuklugu Hastalik Belirtisi Mi Saglik Haberleri

Goz Kapagi Estetigi Blefaroplasti Nedir

Goz Kapagi Estetigi Blefaroplasti Nedir

Goz Kapagi Dusuklugunu Onemseyin Saglik Haberleri

Goz Kapagi Dusuklugunu Onemseyin Saglik Haberleri

Goz Kapak Dusuklugune Dikkat Saglik Haberleri

Goz Kapak Dusuklugune Dikkat Saglik Haberleri

Dogustan Goz Kapagi Dusuklugu Neden Olur

Dogustan Goz Kapagi Dusuklugu Neden Olur

Goz Kapagi Estetiginde Dikkat Edilmesi Gerekenler

Goz Kapagi Estetiginde Dikkat Edilmesi Gerekenler

Goz Kapagi Dusuklugu Pitozis Prof Dr Ayse Yagci

Goz Kapagi Dusuklugu Pitozis Prof Dr Ayse Yagci

Goz Kapagi Dusuklugu Doc Dr Fatih C Gundogan Kayseri

Goz Kapagi Dusuklugu Doc Dr Fatih C Gundogan Kayseri

Cocuklarda Goz Kapagi Dusuklugu Yeniben Com

Cocuklarda Goz Kapagi Dusuklugu Yeniben Com

Goz Kapagi Estetigi

Goz Kapagi Estetigi

Goz Kapagi Estetigi Doc Dr Tunc Tiryaki

Goz Kapagi Estetigi Doc Dr Tunc Tiryaki

Bebeklerde Goz Kapagi Dusuklugu Neden Olur Nasil Gecer Evde Bitkisel Tedavisi Goz Sagligi

Bebeklerde Goz Kapagi Dusuklugu Neden Olur Nasil Gecer Evde Bitkisel Tedavisi Goz Sagligi

Goz Kapagi Iltihabi Nedir Belirtileri Ve Tedavisi Saglik Son Dakika Haberler

Goz Kapagi Iltihabi Nedir Belirtileri Ve Tedavisi Saglik Son Dakika Haberler

Goz Kapagi Dusuklugu Pitozis Prof Dr Ayse Yagci

Goz Kapagi Dusuklugu Pitozis Prof Dr Ayse Yagci

Goz Kapagi Ameliyati Defne Erkara

Goz Kapagi Ameliyati Defne Erkara

Goz Kapagi Estetigi Hakkinda Bilinmesi Gerekenler Guzellik

Goz Kapagi Estetigi Hakkinda Bilinmesi Gerekenler Guzellik

Uykusuzluk Goz Kapagi Sarkmasina Sebep Oluyor

Uykusuzluk Goz Kapagi Sarkmasina Sebep Oluyor

Goz Kapagi Dusuklugu Pitozis Neden Olur Iste Tedavi Yontemleri Doktoransiklopedisi

Goz Kapagi Dusuklugu Pitozis Neden Olur Iste Tedavi Yontemleri Doktoransiklopedisi

Goz Kapagi Estetigi Hangi Durumlarda Uygulanir Estetik

Goz Kapagi Estetigi Hangi Durumlarda Uygulanir Estetik

Goz Kapagi Ameliyati Defne Erkara

Goz Kapagi Ameliyati Defne Erkara

Goz Kapagi Cerrahisi Kapak Dusuklugu Ozel Veni Vidi Goz Merkezi Pendik

Goz Kapagi Cerrahisi Kapak Dusuklugu Ozel Veni Vidi Goz Merkezi Pendik

Goz Kapagi Estetigi Goz Kapagi Dusuklugu Ameliyat Com

Goz Kapagi Estetigi Goz Kapagi Dusuklugu Ameliyat Com

Uykusuzluk Goz Kapagi Sarkmasina Sebep

Uykusuzluk Goz Kapagi Sarkmasina Sebep

Goz Kapagi Estetigi Kaskaloglu Goz Hastanesi Izmir Izmir

Goz Kapagi Estetigi Kaskaloglu Goz Hastanesi Izmir Izmir

Goz Kapagi Dusuklugu Neden Kaynaklanir Acibadem Hayat

Goz Kapagi Dusuklugu Neden Kaynaklanir Acibadem Hayat

Dr Guniz Eker Ulucay Estetik Ve Plastik Cerrahi Uzmani

Dr Guniz Eker Ulucay Estetik Ve Plastik Cerrahi Uzmani

Goz Kapagi Dusuklugu Ptozis Nedenleri Belirtileri Ve Tedavisi Saglik Ocagim Net

Goz Kapagi Dusuklugu Ptozis Nedenleri Belirtileri Ve Tedavisi Saglik Ocagim Net

Goz Kapagi Dusuklugu Estetik Problem Olusturuyor Saglik Haberleri

Goz Kapagi Dusuklugu Estetik Problem Olusturuyor Saglik Haberleri

Goz Kapagi Dusuklugune Dikkat

Goz Kapagi Dusuklugune Dikkat

Ust Goz Kapagi Estetigi Dr Baris Sonmez Goz Hastaliklari Uzmani

Ust Goz Kapagi Estetigi Dr Baris Sonmez Goz Hastaliklari Uzmani

Goz Kapagi Estetigi Blefaroplasti Nedir Vbb Gentek

Goz Kapagi Estetigi Blefaroplasti Nedir Vbb Gentek

Goz Kapagi Dusuklugu Icin Botoks Uygulamasi Dr Estethica Youtube

Goz Kapagi Dusuklugu Icin Botoks Uygulamasi Dr Estethica Youtube

Goz Kapagi Dusuklugunden Kurtulabilirsiniz Saglik Rehberi

Goz Kapagi Dusuklugunden Kurtulabilirsiniz Saglik Rehberi

Goz Kapagi Sarkmasi Icin Dogal Cozumler Sagliga Bir Adim

Goz Kapagi Sarkmasi Icin Dogal Cozumler Sagliga Bir Adim

Op Dr Kaya Goz Kapagi Dusuklugu Sorunu Gorme Kalitesini De Bozabilir

Op Dr Kaya Goz Kapagi Dusuklugu Sorunu Gorme Kalitesini De Bozabilir

Goz Kapagi Dusmesi Ve Goz Kapagi Dusuklugu Ameliyati A Dan Z Ye Saglik

Goz Kapagi Dusmesi Ve Goz Kapagi Dusuklugu Ameliyati A Dan Z Ye Saglik

Goz Kapagi Sarkmasi Neden Olur Dr Tayfun Turkaslan

Goz Kapagi Sarkmasi Neden Olur Dr Tayfun Turkaslan

Goz Seyirmesi Neden Olur Bunlari Gorurseniz Doktora Gidin

Goz Seyirmesi Neden Olur Bunlari Gorurseniz Doktora Gidin

Goz Kapagi Estetigi Doc Dr Tunc Tiryaki

Goz Kapagi Estetigi Doc Dr Tunc Tiryaki

Goz Kapagi Dusuklugune Dikkat Ogun Haber Gunun Onemli Gelismeleri Son Dakika Haberler

Goz Kapagi Dusuklugune Dikkat Ogun Haber Gunun Onemli Gelismeleri Son Dakika Haberler

Prof Dr E Cumhur Sener Goz Hastaliklari Uzmani

Prof Dr E Cumhur Sener Goz Hastaliklari Uzmani

Dr Guniz Eker Ulucay Estetik Ve Plastik Cerrahi Uzmani

Dr Guniz Eker Ulucay Estetik Ve Plastik Cerrahi Uzmani

Goz Kapagi Dusuklugu Ameliyati Akillimercek Goz Hastaliklari Ve Tedavileri

Goz Kapagi Dusuklugu Ameliyati Akillimercek Goz Hastaliklari Ve Tedavileri

Goz Kapagi Estetigi Blefaroplasti Bursa Goz Merkezi

Goz Kapagi Estetigi Blefaroplasti Bursa Goz Merkezi

Goz Estetigi

Goz Estetigi

Goz Kapagi Ameliyati Defne Erkara

Goz Kapagi Ameliyati Defne Erkara

Goz Kapagi Cerrahisi Dunyagoz Hastanesi

Goz Kapagi Cerrahisi Dunyagoz Hastanesi

Youtube Guzellik Estetik Saglik

Youtube Guzellik Estetik Saglik

Goz Kapagi Dusmesine Iyi Gelen Egzersizler Nasil Yapilir

Goz Kapagi Dusmesine Iyi Gelen Egzersizler Nasil Yapilir

Goz Kapagi Dusuklugu Nedenleri Ve Tedavisi Kadin Com

Goz Kapagi Dusuklugu Nedenleri Ve Tedavisi Kadin Com

Goz Kapagi Dusuklugu Nasil Tedavi Edilir

Goz Kapagi Dusuklugu Nasil Tedavi Edilir

Goz Kapaklari Neden Duser Goz Ameliyati Goz Kapagi Dusuklugu

Goz Kapaklari Neden Duser Goz Ameliyati Goz Kapagi Dusuklugu

Goz Kapagi Ameliyati Riskleri Op Dr Hakan Yuzer

Goz Kapagi Ameliyati Riskleri Op Dr Hakan Yuzer

Source : pinterest.com