Herpes Simplex Göz

Herpes Infection Of The Cornea Harvard Health Blog Harvard Health Publishing

Herpes Infection Of The Cornea Harvard Health Blog Harvard Health Publishing

Herpes Simplex Goz Ucugu Op Dr Fersat Muhacir

Herpes Simplex Goz Ucugu Op Dr Fersat Muhacir

Goz Ucugu Kor Ediyor

Goz Ucugu Kor Ediyor

Dikkat Korluge Yol Aciyor Saglik Haberleri

Dikkat Korluge Yol Aciyor Saglik Haberleri

Goz Ucugu Nedir Belirtileri Nelerdir Nasil Gecer Saglik Haberleri

Goz Ucugu Nedir Belirtileri Nelerdir Nasil Gecer Saglik Haberleri

Goz Ucugu Bitkisel Tedavisi Doc Dr Hh Cagatay

Goz Ucugu Bitkisel Tedavisi Doc Dr Hh Cagatay

Goz Ucugu Bitkisel Tedavisi Doc Dr Hh Cagatay

Ağız burun göz dodaq nahiyələrində yaranan adi herpes kimi genital herpes hsv2 suluqlar şəklində özünü göstərir.

Herpes simplex göz. To evaluate the efficacy of oral acyclovir in preventing stromal keratitis or iritis in patients with epithelial keratitis caused by herpes simplex virus hsv. Göz içi bas nc de erleri 30 60 mmhg aras nda olan 12 hastaya 2x1 dozunda oral asetozolamid tedavisi eklendi. Herpes simplex virus type 1 hsv 1 and herpes simplex virus type 2 hsv 2 spread by vaginal anal or oral sex as well as through contact with a herpes sore or with the saliva or genital secretions of someone with. Inkubasiya dövrü 1 10 gün təşkil edir.

Herpes zoster is a common infection caused by the human herpesvirus 3 the same virus that causes varicella i e chickenpox. Herpes simplex and herpes zoster ophthalmicus herpes simplex with eyelid involvement is uncommon and presents with unilateral crops of small vesicles with swelling and erythema. Tipurile 1 si 2 de virus herpes simplex hsv 1 hsv 2 sunt responsabile de o varietate larga de afectiuni de la infectii cutaneo mucoase pana la infectii snc si infectii ocazionale ale organelor viscerale unele dintre acestea cu potential letal. Utilization of hyperbaric oxygen in treatment of corneal neovascularization due to herpes simplex keratitis.

Taraxacum türleri ekstraktlar antiviral aktivite herpes simplex virus tip 1 1 giriş herpes simplex virus tip 1 hsv 1 herpes labialis veya primer gingivostomatit gibi klinik olarak ortaya çıkan primer enfeksiyonlara sebep olan çocuklar ve eriúkinler arasında yüksek derecede yaygın bir patojendir. Yildiz s erşanli d turkiye klinikleri. Herpes simplex virus keratitis. Virusul herpes simplex tip 1.

Case report herpes simpleks keratitine baǧli dotless korneal neovaskülarizasyon tedavisinde hiperbarik oksijen kullani dotless mi dotless uzun g. Two types of viruses. Göz içi bas nc yüksek olan 24 hastaya topikal anti glokomatöz tedavi verildi. Patients with hsv epithelial keratitis of 1 week or less duration were treated with topical trifluridine and were randomly assigned to receive a 3 week course of oral acyclovir 400 mg 5 times a day hereafter.

Cheryl macgregor s 12 research works with 85 citations and 1 020 reads including. It is a member of the same family herpesviridae as herpes simplex. Qruplaşmaya meyilli olub xırda suluqlardan ibarət olan səpki çox vaxt yanğı və ağrı ilə müşahidə olunur.

Goz Ucugu Korluge Yol Acabilir Saglik Haberleri

Goz Ucugu Korluge Yol Acabilir Saglik Haberleri

Cocuk Hastada Gorulen Primer Herpes Prof Dr Esin Baser Facebook

Cocuk Hastada Gorulen Primer Herpes Prof Dr Esin Baser Facebook

Goz Ucugu Tedavisi Hakkinda Tum Sorular Doc Dr Cagatay

Goz Ucugu Tedavisi Hakkinda Tum Sorular Doc Dr Cagatay

Goz Ucugu Korluge Yol Acabilir Gokyuzu Haberci

Goz Ucugu Korluge Yol Acabilir Gokyuzu Haberci

Goz Ucugu Korluge Yol Acabilir Saglik Haberleri

Goz Ucugu Korluge Yol Acabilir Saglik Haberleri

Herpes Ucuk Hastaligi

Herpes Ucuk Hastaligi

Gozdeki Ucuk Kalici Gorme Kaybina Neden Olabilir Saglik Rehberi

Gozdeki Ucuk Kalici Gorme Kaybina Neden Olabilir Saglik Rehberi

Goz Ucuklari Neye Benziyor Trmedbook

Goz Ucuklari Neye Benziyor Trmedbook

Goz Ucugu Korluge Yol Acabilir Eskisehir Ekspres Eskisehir Haber Son Dakika Eskisehir Haberleri

Goz Ucugu Korluge Yol Acabilir Eskisehir Ekspres Eskisehir Haber Son Dakika Eskisehir Haberleri

Uykusuzluk Goz Ucugunu Tetikliyor Ucuk Tedavisi Nasil Olmali

Uykusuzluk Goz Ucugunu Tetikliyor Ucuk Tedavisi Nasil Olmali

Goz Ucugu Korluge Neden Olabiliyor

Goz Ucugu Korluge Neden Olabiliyor

Goz Ucugu Kor Birakabilir

Goz Ucugu Kor Birakabilir

Goz Ucuguna Dikkat Korluge Yol Acabilir

Goz Ucuguna Dikkat Korluge Yol Acabilir

Goz Nezlesi Belirtileri Ve Tedavisi Saglik Son Dakika Haberler

Goz Nezlesi Belirtileri Ve Tedavisi Saglik Son Dakika Haberler

Goz Ucuklari Neye Benziyor Trmedbook

Goz Ucuklari Neye Benziyor Trmedbook

Excimer Laser Ve Kornea Herpes Ucuk Goz Hastaliklari

Excimer Laser Ve Kornea Herpes Ucuk Goz Hastaliklari

Pdf Ocular Herpes Simplex Virus Activation Following High Dose Oral Fluoxetine Intake

Pdf Ocular Herpes Simplex Virus Activation Following High Dose Oral Fluoxetine Intake

Goz Kasintisi Neden Olur Goz Kasintisi Nedenleri Ve Tedavisi Saglik Son Dakika Haberler

Goz Kasintisi Neden Olur Goz Kasintisi Nedenleri Ve Tedavisi Saglik Son Dakika Haberler

Https Encrypted Tbn0 Gstatic Com Images Q Tbn 3aand9gct Ezxknlss Nhcfqz1bvl8jososgt5ncycsszax4ysnxeexoaf Usqp Cau

Https Encrypted Tbn0 Gstatic Com Images Q Tbn 3aand9gct Ezxknlss Nhcfqz1bvl8jososgt5ncycsszax4ysnxeexoaf Usqp Cau

Dikkat Korluge Yol Aciyor Saglik Haberleri

Dikkat Korluge Yol Aciyor Saglik Haberleri

Goz Ucugu Korluge Yol Acabilir

Goz Ucugu Korluge Yol Acabilir

Gozde De Ucuk Cikiyor

Gozde De Ucuk Cikiyor

Herpes Ucuk Enfeksiyonlari Uckun Tip Laboratuvari

Herpes Ucuk Enfeksiyonlari Uckun Tip Laboratuvari

Kucuk Bir Ucuk Kor Edebilir Mi Saglik Haberleri Ntv

Kucuk Bir Ucuk Kor Edebilir Mi Saglik Haberleri Ntv

Goz Ucugu Korluge Yol Acabilir Haber

Goz Ucugu Korluge Yol Acabilir Haber

Oftalmik Preparatlar Farmasotik Teknoloji Iii Ppt Indir

Oftalmik Preparatlar Farmasotik Teknoloji Iii Ppt Indir

Goz Ucugu Tedavisi Hakkinda Tum Sorular Doc Dr Cagatay

Goz Ucugu Tedavisi Hakkinda Tum Sorular Doc Dr Cagatay

Oralherpes Instagram Posts Photos And Videos Picuki Com

Oralherpes Instagram Posts Photos And Videos Picuki Com

Dikkat Korluge Yol Aciyor Saglik Haberleri

Dikkat Korluge Yol Aciyor Saglik Haberleri

Dikkat Korluge Yol Aciyor Saglik Haberleri

Dikkat Korluge Yol Aciyor Saglik Haberleri

Konjonktivit Nedir Ve Nasil Tedavi Edilir Akillimercek Goz Hastaliklari Ve Tedavileri

Konjonktivit Nedir Ve Nasil Tedavi Edilir Akillimercek Goz Hastaliklari Ve Tedavileri

Dikkat Goz Ucugu Korluge Neden Olabilir Optik Gazete

Dikkat Goz Ucugu Korluge Neden Olabilir Optik Gazete

Goz Ucugu Rahatsizliklarina Dikkat

Goz Ucugu Rahatsizliklarina Dikkat

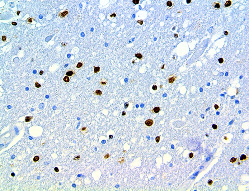
Bio Sb On Twitter Great Image Of Our New Hsv I Mmab On Brain Tissue Details Here Https T Co Q9l0ol8xjd Did You Know We Launched 2 New Antibodies For Ihc Herpes Simplex

Bio Sb On Twitter Great Image Of Our New Hsv I Mmab On Brain Tissue Details Here Https T Co Q9l0ol8xjd Did You Know We Launched 2 New Antibodies For Ihc Herpes Simplex

Http Www Anadoluissagligi Com Img File 1626 Pdf

Http Www Anadoluissagligi Com Img File 1626 Pdf

Herpetickeratitis Instagram Posts Gramho Com

Herpetickeratitis Instagram Posts Gramho Com

Dikkat Korluge Yol Aciyor Saglik Haberleri

Dikkat Korluge Yol Aciyor Saglik Haberleri

Goz Ucugu Veya Okuler Herpes

Goz Ucugu Veya Okuler Herpes

Goz Ucugu Kor Eder Mi Uzmani Acikladi

Goz Ucugu Kor Eder Mi Uzmani Acikladi

Dikkat Korluge Yol Aciyor Saglik Haberleri

Dikkat Korluge Yol Aciyor Saglik Haberleri

Herpetickeratitis Instagram Posts Gramho Com

Herpetickeratitis Instagram Posts Gramho Com

1 Prospektus Vđrupos Goz Merhemi 4 5 Gr Asiklovir

1 Prospektus Vđrupos Goz Merhemi 4 5 Gr Asiklovir

Allergic Eye Diseases Ozel Karsiyaka Goz Hastanesi

Allergic Eye Diseases Ozel Karsiyaka Goz Hastanesi

Https Encrypted Tbn0 Gstatic Com Images Q Tbn 3aand9gcqpdh4j5r Qrdhqmvej3lpzhd1tm1bn6jiruodsz5ymd9hxm Bh Usqp Cau

Https Encrypted Tbn0 Gstatic Com Images Q Tbn 3aand9gcqpdh4j5r Qrdhqmvej3lpzhd1tm1bn6jiruodsz5ymd9hxm Bh Usqp Cau

Dikkat Korluge Yol Aciyor Saglik Haberleri

Dikkat Korluge Yol Aciyor Saglik Haberleri

Kuru Goz Hastaligi Op Dr Fersat Muhacir

Kuru Goz Hastaligi Op Dr Fersat Muhacir

Kopeklerde Herpes Virus Enfeksiyonlari Kopekler Vetrehberi

Kopeklerde Herpes Virus Enfeksiyonlari Kopekler Vetrehberi

Pdf Allograft Reaction After Latanoprost Use Following Penetrating Keratoplasty For Corneal Scarring Due To Herpetic Keratitis

Pdf Allograft Reaction After Latanoprost Use Following Penetrating Keratoplasty For Corneal Scarring Due To Herpetic Keratitis

Dikkat Korluge Yol Aciyor Saglik Haberleri

Dikkat Korluge Yol Aciyor Saglik Haberleri

Kornea Ve Konjonktiva Goz Yuzeyi Hastaliklari Doc Dr Hh Cagatay

Kornea Ve Konjonktiva Goz Yuzeyi Hastaliklari Doc Dr Hh Cagatay

Kedilerde Herpes Virus Enfeksiyonu Feline Viral Rhinotracheitis

Kedilerde Herpes Virus Enfeksiyonu Feline Viral Rhinotracheitis

Dikkat Korluge Yol Aciyor Saglik Haberleri

Dikkat Korluge Yol Aciyor Saglik Haberleri

Herpetickeratitis Instagram Posts Gramho Com

Herpetickeratitis Instagram Posts Gramho Com

Goz Nezlesi Belirtileri Ve Tedavisi Saglik Son Dakika Haberler

Goz Nezlesi Belirtileri Ve Tedavisi Saglik Son Dakika Haberler

Http Www Anadoluissagligi Com Img File 1626 Pdf

Http Www Anadoluissagligi Com Img File 1626 Pdf

Dikkat Korluge Yol Aciyor Saglik Haberleri

Dikkat Korluge Yol Aciyor Saglik Haberleri

Goz Ucugu Korluge Yol Acabilir Saglik Haberleri

Goz Ucugu Korluge Yol Acabilir Saglik Haberleri

What Is Herpes Keratitis American Academy Of Ophthalmology

What Is Herpes Keratitis American Academy Of Ophthalmology

Frontiers Herpes Simplex Virus Evasion Of Early Host Antiviral Responses Cellular And Infection Microbiology

Frontiers Herpes Simplex Virus Evasion Of Early Host Antiviral Responses Cellular And Infection Microbiology

Pdf Clinical Features And Prognosis Of Herpetic Anterior Uveitis A Retrospective Study Of 111 Cases Ilknur Tugal Tutkun Academia Edu

Pdf Clinical Features And Prognosis Of Herpetic Anterior Uveitis A Retrospective Study Of 111 Cases Ilknur Tugal Tutkun Academia Edu

What Is Conjunctivitis Health Ledger

What Is Conjunctivitis Health Ledger

Expermio

Expermio

Goz Kapaginda Kasilma Segirme Op Dr Fersat Muhacir

Goz Kapaginda Kasilma Segirme Op Dr Fersat Muhacir

Herpetickeratitis Instagram Posts Gramho Com

Herpetickeratitis Instagram Posts Gramho Com

Pin On Health Remedies

Pin On Health Remedies

Ucuk Aft Onur Ozturk

Ucuk Aft Onur Ozturk

Https Azslide Com Download Kornea Hastalklar Derman Sibel Nan Derman Tbbi Yaynclk 1 5a3d99b91723ddd8ce7c04b1 Html

Https Azslide Com Download Kornea Hastalklar Derman Sibel Nan Derman Tbbi Yaynclk 1 5a3d99b91723ddd8ce7c04b1 Html

Ucuk Neden Olur Hangi Vitamin Eksikliginden Cikar Ucuk Bulasici Mi Nasil Yayilir Saglik Haberleri

Ucuk Neden Olur Hangi Vitamin Eksikliginden Cikar Ucuk Bulasici Mi Nasil Yayilir Saglik Haberleri

Https Encrypted Tbn0 Gstatic Com Images Q Tbn 3aand9gct Ezxknlss Nhcfqz1bvl8jososgt5ncycsszax4ysnxeexoaf Usqp Cau

Https Encrypted Tbn0 Gstatic Com Images Q Tbn 3aand9gct Ezxknlss Nhcfqz1bvl8jososgt5ncycsszax4ysnxeexoaf Usqp Cau

Http Www Anadoluissagligi Com Img File 1626 Pdf

Http Www Anadoluissagligi Com Img File 1626 Pdf

Eriskinlerde Goz Yasarmasi Op Dr Fersat Muhacir

Eriskinlerde Goz Yasarmasi Op Dr Fersat Muhacir

Infections O Murat Uyar Md Assoc Prof Of Ophthalmology Febo Fico Ophtalmologist Istanbul

Infections O Murat Uyar Md Assoc Prof Of Ophthalmology Febo Fico Ophtalmologist Istanbul

Dikkat Goz Ucugu Korluge Neden Olabilir Optik Gazete

Dikkat Goz Ucugu Korluge Neden Olabilir Optik Gazete

Uveit Doc Dr Fatih C Gundogan Goz Hst Uzm Kayseri

Uveit Doc Dr Fatih C Gundogan Goz Hst Uzm Kayseri

Herpetickeratitis Instagram Posts Photos And Videos Picuki Com

Herpetickeratitis Instagram Posts Photos And Videos Picuki Com

Burcu On Twitter Bu Hayatta Asla Yalniz Kalmicam Cunku Ucuk Virusum Beni Asla Birakmio Herpes Simplex My Old Friend

Burcu On Twitter Bu Hayatta Asla Yalniz Kalmicam Cunku Ucuk Virusum Beni Asla Birakmio Herpes Simplex My Old Friend

Https Azslide Com Download Kornea Hastalklar Derman Sibel Nan Derman Tbbi Yaynclk 1 5a3d99b91723ddd8ce7c04b1 Html

Https Azslide Com Download Kornea Hastalklar Derman Sibel Nan Derman Tbbi Yaynclk 1 5a3d99b91723ddd8ce7c04b1 Html

Eyvah Mikrop Kaptim Konjonktivit Ozel Optimed Hastanesi

Eyvah Mikrop Kaptim Konjonktivit Ozel Optimed Hastanesi

Ucuk Neden Cikar Nasil Gecer Acibadem Hayat

Ucuk Neden Cikar Nasil Gecer Acibadem Hayat

Dikkat Goz Ucugu Olarak Da Bilinen Herpes Simplex Virusu Korluge Yol Aciyor Bilse Bilse

Dikkat Goz Ucugu Olarak Da Bilinen Herpes Simplex Virusu Korluge Yol Aciyor Bilse Bilse

Goz Ucugu Rahatsizliklarina Dikkat

Goz Ucugu Rahatsizliklarina Dikkat

Konjonktiva Ve Kornea Eda Guner Ppt Video Online Indir

Konjonktiva Ve Kornea Eda Guner Ppt Video Online Indir

Http Cms Galenos Com Tr Uploads Article 4059 229 235 Pdf

Http Cms Galenos Com Tr Uploads Article 4059 229 235 Pdf

Goz Ucugu Rahatsizliklarina Dikkat

Goz Ucugu Rahatsizliklarina Dikkat

Herpetickeratitis Instagram Posts Gramho Com

Herpetickeratitis Instagram Posts Gramho Com

Goz Kasintisi Neden Olur Goz Kasintisi Nedenleri Ve Tedavisi Anha News

Goz Kasintisi Neden Olur Goz Kasintisi Nedenleri Ve Tedavisi Anha News

Kaya Goz Merkezi Herpes

Kaya Goz Merkezi Herpes

Goz Kasintisi Neden Olur Goz Kasintisi Nedenleri Ve Tedavisi Saglik Son Dakika Haberler

Goz Kasintisi Neden Olur Goz Kasintisi Nedenleri Ve Tedavisi Saglik Son Dakika Haberler

Herpes Virus Enfeksiyonlari Ppt Indir

Herpes Virus Enfeksiyonlari Ppt Indir

Dikkat Goz Ucugu Korluge Neden Olabilir Optik Gazete

Dikkat Goz Ucugu Korluge Neden Olabilir Optik Gazete

Expermio

Expermio

Surekli Goz Ovalama Keratokonus Hastaligina Yol Acabilir Bilse Bilse

Surekli Goz Ovalama Keratokonus Hastaligina Yol Acabilir Bilse Bilse

Herpeskeratitis Hashtag On Twitter

Herpeskeratitis Hashtag On Twitter

Source : pinterest.com