Göz Kapağı Düşüklüğü Hastalığı

Goz Kapagi Dusuklugu Hastalik Belirtisi Mi Saglik Haberleri

Goz Kapagi Dusuklugu Hastalik Belirtisi Mi Saglik Haberleri

Goz Kapagi Dusuklugu Hastalik Belirtisi Mi Saglik Haberleri

Goz Kapagi Dusuklugu Hastalik Belirtisi Mi Saglik Haberleri

Tek Tarafli Goz Kapagi Dusmesi Pitozis Prof Dr Orhan Sen

Tek Tarafli Goz Kapagi Dusmesi Pitozis Prof Dr Orhan Sen

Goz Kapagi Dusuklugu Hastalik Belirtisi Mi Saglik Haberleri

Goz Kapagi Dusuklugu Hastalik Belirtisi Mi Saglik Haberleri

Goz Kapagi Dusuklugu Nedir Goz Kapagi Dusuklugu Tedavisi Saglik Haberleri

Goz Kapagi Dusuklugu Nedir Goz Kapagi Dusuklugu Tedavisi Saglik Haberleri

Goz Kapagi Dusuklugu Hastalik Belirtisi Mi Saglik Haberleri

Goz Kapagi Dusuklugu Hastalik Belirtisi Mi Saglik Haberleri

Goz Kapagi Dusuklugu Hastalik Belirtisi Mi Saglik Haberleri

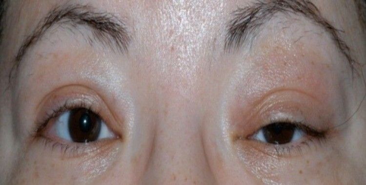
Göz kapağı düşüklüğü ve göz kapaklarında şişlik başı bir yana eğerek bakma ve gözleri kısarak bakma.

Göz kapağı düşüklüğü hastalığı. Kanser hastalığı başta olmak üzere tansiyon ve diğer hastalıklardan dolayı düşmeyen göz kapağı derisi her zaman uzman doktor tarafından işleme alınması gereken bir uygulamadır. Bununla birlikte göz kapağı düşüklüğü. 17 01 2017 07 27 türkiye gazetesi. Göz kapak aralığı normalde 8 10 mm dir.

Göz kapağı düşüklüğü nedir. Buna yaşlılığa bağlı göz kapağı düşüklüğü ya da tıbbi adıyla senil pitozis adı verilmektedir. Gibi problemlerin bir ya da birkaçının yaşanması göz hastalıklarının habercisi olabilir. Göz kapağı düşüklüğü her yaşta görülebilmektedir.

Göz hastalıkları genetik ya da çevresel nedenlere bağlı olarak gelişebilir. Göz kapağı düşüklüğü yetişkinlerde yaşlanma travma kas hastalıkları veya nörolojik bozukluklardan ötürü meydana gelirken bebeklerde bu durum farklıdır. Göz hastalıkları nedenleri nelerdir. Ana sayfa sağlik göz kapağı düşüklüğü kas hastalığı habercisi olabilir 17 01 2017 07 26 son güncelleme.

Kasların zayıflığı yada yaşlılık ile meydana gelen bir hastalıktır. Göz hastalıkları uzmanı doç dr. Göz kapağı düşüklüğü sadece kozmetik bir sorun olarak görülmemeli daha önce de ifade edildiği gibi görme problemlerine yol açabilen ciddi bir göz hastalığı olarak kabul edilmelidir. Kadınlarda ve çocuklarda erkeklere göre 2 mm daha fazladır.

Günümüzde göz kapağı düşüklüğü yani pitozis hastalığı hem yeni doğanlarda hem yaşlı bireylerde görülebilen bir hastalıktır. çeşitli nedenlere bağlı olarak doğuştan var olan veya sonradan gelişen göz kapağının gözün renkli kısmını bir milimetreden daha fazla bir uzunlukta örtecek şekilde düşük olması şeklinde görülen bir sağlık sorunudur gözlerden yalnızca bir tanesinde veya her iki gözde birden görülmesi söz konusu olabilen göz kapağı. Barış yeniad göz kapağı düşüklüğünün doğuştan veya ilerleyen yaşlarda görülebildiğini belirterek en sık göz kapağı düşüklüğü nedenleri yaşa bağlı göz kapağını kaldıran kaslarda güçsüzlük göz bölgesine gelen travmalar geçirilmiş göz ameliyatları miyokondrial miyopati gibi kas hastalıkları ve doğuştan.

Goz Kapagi Dusuklugune Dikkat Saglik Haberleri

Goz Kapagi Dusuklugune Dikkat Saglik Haberleri

Cocuklarda Goz Kapagi Dusuklugu Onemsenmeli Gundem Gercek Haberci

Cocuklarda Goz Kapagi Dusuklugu Onemsenmeli Gundem Gercek Haberci

Goz Kapagi Dusuklugu Deyip Gecmeyin Saglik Haberleri

Goz Kapagi Dusuklugu Deyip Gecmeyin Saglik Haberleri

Goz Kapagi Dusuklugu Nedir Goz Kapagi Dusuklugu Neden Olur

Goz Kapagi Dusuklugu Nedir Goz Kapagi Dusuklugu Neden Olur

Okuloplastik Cerrahi Ve Goz Kapagi Hastaliklari Yeditepe Universitesi Hastanesi

Okuloplastik Cerrahi Ve Goz Kapagi Hastaliklari Yeditepe Universitesi Hastanesi

Cocuklarda Goz Kapagi Dusuklugune Dikkat Cocuk Haberleri

Cocuklarda Goz Kapagi Dusuklugune Dikkat Cocuk Haberleri

Goz Kapagi Dusuklugu Icin Dogal Tedavi Ve Egzersizler Youtube

Goz Kapagi Dusuklugu Icin Dogal Tedavi Ve Egzersizler Youtube

Goz Kapagi Dusuklugu Nedir Neden Olur

Goz Kapagi Dusuklugu Nedir Neden Olur

Goz Kapagi Dusuklugu Ciddi Bir Sorunun Habercisi Olabilir Bitkilog

Goz Kapagi Dusuklugu Ciddi Bir Sorunun Habercisi Olabilir Bitkilog

Goz Kapagi Dusuklugu Kimlerde Daha Cok Gorulur Tehlikesi Var Midir Saglik Haberleri

Goz Kapagi Dusuklugu Kimlerde Daha Cok Gorulur Tehlikesi Var Midir Saglik Haberleri

Bebeklerde Ve Cocuklarda Goz Kapagi Dusuklugune Dikkat Son Dakika Saglik Haberleri

Bebeklerde Ve Cocuklarda Goz Kapagi Dusuklugune Dikkat Son Dakika Saglik Haberleri

Cocuklarda Goz Kapagi Dusuklugune Dikkat Cocuk Haberleri

Cocuklarda Goz Kapagi Dusuklugune Dikkat Cocuk Haberleri

Kapak Dusuklugu Ptozis Doc Dr Fadime Nuhoglu

Kapak Dusuklugu Ptozis Doc Dr Fadime Nuhoglu

Goz Kapagi Dusuklugu Buyuk Kucuk Ayirt Etmiyor

Goz Kapagi Dusuklugu Buyuk Kucuk Ayirt Etmiyor

Goz Kapagi Dusuklugune Dikkat Son Dakika Saglik Haberleri

Goz Kapagi Dusuklugune Dikkat Son Dakika Saglik Haberleri

Goz Kapagi Dusuklugu Deyip Gecmeyin

Goz Kapagi Dusuklugu Deyip Gecmeyin

Goz Kapagi Dusuklugu Hastalik Habercisi Olabilir Ozgur Kocaeli Gazetesi

Goz Kapagi Dusuklugu Hastalik Habercisi Olabilir Ozgur Kocaeli Gazetesi

Goz Kapagi Dusuklugu Nedenleri Ve Tedavisi Kadin Com

Goz Kapagi Dusuklugu Nedenleri Ve Tedavisi Kadin Com

Goz Kapagi Dusuklugu Hastalik Belirtisi Mi Saglik Haberleri

Goz Kapagi Dusuklugu Hastalik Belirtisi Mi Saglik Haberleri

Engelliler Gen Tr Engelli Haklari Ve Sosyal Sorunlar

Engelliler Gen Tr Engelli Haklari Ve Sosyal Sorunlar

Goz Kapagi Dusuklugu Ameliyatsiz Tedavi Edilebiliyor

Goz Kapagi Dusuklugu Ameliyatsiz Tedavi Edilebiliyor

Pitozis Goz Kapagi Dusuklugu

Pitozis Goz Kapagi Dusuklugu

Tek Tarafli Goz Kapagi Dusuklugu Ayse Dolar Bilge Op Dr Goz Hastaliklari Uzmani Facebook

Tek Tarafli Goz Kapagi Dusuklugu Ayse Dolar Bilge Op Dr Goz Hastaliklari Uzmani Facebook

Ptozis Goz Kapagi Dusuklugu Okuloplastik Protez Goz Cerrahi

Ptozis Goz Kapagi Dusuklugu Okuloplastik Protez Goz Cerrahi

Goz Kapagi Cerrahisi Gerektiren 4 Neden Saglik Rehberi

Goz Kapagi Cerrahisi Gerektiren 4 Neden Saglik Rehberi

Goz Kapagi Dusuklugune Dikkat

Goz Kapagi Dusuklugune Dikkat

Goz Kapagi Dusuklugu Ameliyat Com

Goz Kapagi Dusuklugu Ameliyat Com

Goz Kapak Estetigi Okuloplasti Ankasu Goz Hastanesi

Goz Kapak Estetigi Okuloplasti Ankasu Goz Hastanesi

Goz Kapagi Dusuklugu Gorme Kaybina Neden Olabiliyor Istanbul Haberleri

Goz Kapagi Dusuklugu Gorme Kaybina Neden Olabiliyor Istanbul Haberleri

Goz Kapagi Dusuklugu Hastalik Habercisi Olabilir Antalya Ekspres

Goz Kapagi Dusuklugu Hastalik Habercisi Olabilir Antalya Ekspres

Cocuklarda Goz Kapagi Dusuklugune Dikkat

Cocuklarda Goz Kapagi Dusuklugune Dikkat

Goz Kapagi Dusuklugu Tedavisi Istanbul Goz Hastaliklari Klinigi

Goz Kapagi Dusuklugu Tedavisi Istanbul Goz Hastaliklari Klinigi

Goz Kapagi Cerrahisi Kapak Dusuklugu Ozel Veni Vidi Goz Sagligi Merkezi

Goz Kapagi Cerrahisi Kapak Dusuklugu Ozel Veni Vidi Goz Sagligi Merkezi

Goz Kapak Dusuklugune Dikkat Saglik Haberleri

Goz Kapak Dusuklugune Dikkat Saglik Haberleri

Op Dr Tuncer Guney Okuloplasti

Op Dr Tuncer Guney Okuloplasti

Goz Kapagi Dusuklugu Hastalik Habercisi Olabilir Beden Sagligi

Goz Kapagi Dusuklugu Hastalik Habercisi Olabilir Beden Sagligi

Goz Kapagi Dusuklugu Doc Dr Fatih C Gundogan Kayseri

Goz Kapagi Dusuklugu Doc Dr Fatih C Gundogan Kayseri

Op Dr Kaya Goz Kapagi Dusuklugu Sorunu Gorme Kalitesini De Bozabilir

Op Dr Kaya Goz Kapagi Dusuklugu Sorunu Gorme Kalitesini De Bozabilir

Orbita Lakrimal Sistem Ve Goz Kapagi Cerrahisi Nedir

Orbita Lakrimal Sistem Ve Goz Kapagi Cerrahisi Nedir

Pin By Menekse Gul On Saglik Movie Posters Movies Poster

Pin By Menekse Gul On Saglik Movie Posters Movies Poster

Cocuklarda Goz Kapagi Dusuklugu Onemsenmeli Erzurum

Cocuklarda Goz Kapagi Dusuklugu Onemsenmeli Erzurum

Goz Kapagi Dusuklugu Hastalik Habercisi Olabilir Golcuk Postasi Gazetesi Ile Dogru Tarafsiz Ve Son Dakika Heberleri

Goz Kapagi Dusuklugu Hastalik Habercisi Olabilir Golcuk Postasi Gazetesi Ile Dogru Tarafsiz Ve Son Dakika Heberleri

Goz Kapagi Dusuklugu Hastalik Habercisi Saglik Turkiye Haber Ajansi

Goz Kapagi Dusuklugu Hastalik Habercisi Saglik Turkiye Haber Ajansi

Goz Kapagi Estetigi Icin Uygun Aday Misiniz

Goz Kapagi Estetigi Icin Uygun Aday Misiniz

Orbita Lakrimal Sistem Ve Goz Kapagi Cerrahisi Nedir

Orbita Lakrimal Sistem Ve Goz Kapagi Cerrahisi Nedir

Goz Hastaliklari Goz Kapagi Dusuklugune Dikkat Doktortakvimi Com

Goz Hastaliklari Goz Kapagi Dusuklugune Dikkat Doktortakvimi Com

Goz Kapagi Dusuklugu Hastalik Belirtisi Mi Trio Klinik

Goz Kapagi Dusuklugu Hastalik Belirtisi Mi Trio Klinik

Goz Kapagi Dusuklugu Pitozis Prof Dr Ayse Yagci

Goz Kapagi Dusuklugu Pitozis Prof Dr Ayse Yagci

Goz Kapagi Dusuklugu Nedir Nedenleri Ameliyatsiz Tedavi Egzersiz

Goz Kapagi Dusuklugu Nedir Nedenleri Ameliyatsiz Tedavi Egzersiz

Cocuklarda Goz Kapagi Dusuklugu Onemsenmeli

Cocuklarda Goz Kapagi Dusuklugu Onemsenmeli

Goz Kapagi Dusuklugu Estetige Yoneltiyor

Goz Kapagi Dusuklugu Estetige Yoneltiyor

Goz Kapagi Dusuklugu Goz Tembelligine Sebep Olabilir Haber

Goz Kapagi Dusuklugu Goz Tembelligine Sebep Olabilir Haber

Ptozis Goz Kapagi Dusuklugu Okuloplastik Protez Goz Cerrahi

Ptozis Goz Kapagi Dusuklugu Okuloplastik Protez Goz Cerrahi

Goz Kapagi Iltihabi Nedir Belirtileri Ve Tedavisi Saglik Son Dakika Haberler

Goz Kapagi Iltihabi Nedir Belirtileri Ve Tedavisi Saglik Son Dakika Haberler

Goz Kapagi Dusuklugu Neden Kaynaklanir Acibadem Hayat

Goz Kapagi Dusuklugu Neden Kaynaklanir Acibadem Hayat

Goz Kapagi Dusuklugu Hastalik Habercisi Olabilir Ankara Baskent Haberleri

Goz Kapagi Dusuklugu Hastalik Habercisi Olabilir Ankara Baskent Haberleri

Goz Kapagi Dusuklugu Ptozis Nedenleri Belirtileri Ve Tedavisi Saglik Ocagim Net

Goz Kapagi Dusuklugu Ptozis Nedenleri Belirtileri Ve Tedavisi Saglik Ocagim Net

Goz Kapagi Hastaliklari

Goz Kapagi Hastaliklari

Goz Kapagi Dusuklugu Bas Agrisi Sebebi Mi

Goz Kapagi Dusuklugu Bas Agrisi Sebebi Mi

Goz Kapagi Dusuklugu Hastalik Habercisi

Goz Kapagi Dusuklugu Hastalik Habercisi

Doc Dr Ilke Bahceci Simsek

Doc Dr Ilke Bahceci Simsek

Goz Kapagi Dusuklugu Hastalik Belirtisi Mi Saglik Haberleri

Goz Kapagi Dusuklugu Hastalik Belirtisi Mi Saglik Haberleri

Goz Kapagi Dusuklugu Hastalik Habercisi Olabilir Saglik

Goz Kapagi Dusuklugu Hastalik Habercisi Olabilir Saglik

Goz Estetigi Duzeygoz Merkezi Avcilar

Goz Estetigi Duzeygoz Merkezi Avcilar

Evde Goz Kapagi Dusuklugu Nasil Tedavi Edilir Evde Nasil Yapilir Saglik Dusuk Gozler Dogal Cilt

Evde Goz Kapagi Dusuklugu Nasil Tedavi Edilir Evde Nasil Yapilir Saglik Dusuk Gozler Dogal Cilt

Goz Kapagi Estetigi Blefaroplasti Nedir

Goz Kapagi Estetigi Blefaroplasti Nedir

Goz Kapagi Dusuklugu Ozel Avicenna Hastanesi Esenler

Goz Kapagi Dusuklugu Ozel Avicenna Hastanesi Esenler

Goz Kapagi Dusuklugu Ciddi Hastaliklarin Belirtisi

Goz Kapagi Dusuklugu Ciddi Hastaliklarin Belirtisi

Goz Kapagi Dusuklugu Ptosis Nedir Optik Gazete

Goz Kapagi Dusuklugu Ptosis Nedir Optik Gazete

Goz Kapagi Dusuklugu Hastalik Belirtisi Mi Saglik Haberleri

Goz Kapagi Dusuklugu Hastalik Belirtisi Mi Saglik Haberleri

Goz Kapagi Hastaliklari Belirtileri Tanisi Ve Tedavisi Goz Kapagi Ameliyati Ethica

Goz Kapagi Hastaliklari Belirtileri Tanisi Ve Tedavisi Goz Kapagi Ameliyati Ethica

Bebeklerde Goz Kapagi Hastaliklari Prof Dr Sule Ziylan

Bebeklerde Goz Kapagi Hastaliklari Prof Dr Sule Ziylan

Goz Kapagi Dusuklugu Gorme Kaybina Neden Olabiliyor Ogun Haber Gunun Onemli Gelismeleri Son Dakika Haberler

Goz Kapagi Dusuklugu Gorme Kaybina Neden Olabiliyor Ogun Haber Gunun Onemli Gelismeleri Son Dakika Haberler

Goz Kapagi Hastaliklari Prof Dr Ibrahim Bulent Buttanri

Goz Kapagi Hastaliklari Prof Dr Ibrahim Bulent Buttanri

Goz Kapagi Dusuklugu Doc Dr Fatih C Gundogan Kayseri

Goz Kapagi Dusuklugu Doc Dr Fatih C Gundogan Kayseri

Cocuklarda Goz Kapagi Dusuklugune Dikkat

Cocuklarda Goz Kapagi Dusuklugune Dikkat

Goz Kapagi Cerrahisi Gerektiren 4 Neden Haber

Goz Kapagi Cerrahisi Gerektiren 4 Neden Haber

Pitozis Goz Kapagi Dusuklugunun Nedenleri Ve Tedavileri

Pitozis Goz Kapagi Dusuklugunun Nedenleri Ve Tedavileri

Bebeklerde Ve Cocuklarda Goz Kapagi Dusuklugu Onemsenmeli Atagoz

Bebeklerde Ve Cocuklarda Goz Kapagi Dusuklugu Onemsenmeli Atagoz

Goz Kapagi Estetigi Goz Kapagi Dusuklugu Ameliyat Com

Goz Kapagi Estetigi Goz Kapagi Dusuklugu Ameliyat Com

Kapak Dusuklugu Ptozis Cankaya Ankara Doc Dr Altug Cetinkaya Goz Hastaliklari Uzmani

Kapak Dusuklugu Ptozis Cankaya Ankara Doc Dr Altug Cetinkaya Goz Hastaliklari Uzmani

Goz Kapagi Dusuklugu Deyip Gecmeyin Istanbul Haberleri

Goz Kapagi Dusuklugu Deyip Gecmeyin Istanbul Haberleri

Goz Kapagi Dusuklugu Op Dr Murat Bozkir

Goz Kapagi Dusuklugu Op Dr Murat Bozkir

Goz Kapagi Dusuklugu Ameliyati Akillimercek Goz Hastaliklari Ve Tedavileri

Goz Kapagi Dusuklugu Ameliyati Akillimercek Goz Hastaliklari Ve Tedavileri

Goz Kapagi Dusuklugu Pitozis Prof Dr Ayse Yagci

Goz Kapagi Dusuklugu Pitozis Prof Dr Ayse Yagci

Goz Kapagi Sismesi Nasil Gecer Goz Kapagi Sismesi Neden Olur Ne Iyi Gelir Saglik Son Dakika Haberler

Goz Kapagi Sismesi Nasil Gecer Goz Kapagi Sismesi Neden Olur Ne Iyi Gelir Saglik Son Dakika Haberler

Cocuklarda Goz Kapagi Dusuklugune Dikkat Saglik Gazete Abc

Cocuklarda Goz Kapagi Dusuklugune Dikkat Saglik Gazete Abc

Goz Kapagi Dusuklugu Goz Kapagi Dusuklugu

Goz Kapagi Dusuklugu Goz Kapagi Dusuklugu

Goz Kapagi Dusuklugu Ameliyati Artik Fethiye De De Yapiliyor Guncel

Goz Kapagi Dusuklugu Ameliyati Artik Fethiye De De Yapiliyor Guncel

Sol Goz Kapagi Dusuklugu Ile Basvuran 41 Op Dr Timucin Yildirim Ile Goz Hastaliklari Facebook

Sol Goz Kapagi Dusuklugu Ile Basvuran 41 Op Dr Timucin Yildirim Ile Goz Hastaliklari Facebook

Goz Kapagi Cerrahisi Dunyagoz Hastanesi

Goz Kapagi Cerrahisi Dunyagoz Hastanesi

Goz Kapagi Dusuklugune Hizli Cozum Sanal Basin

Goz Kapagi Dusuklugune Hizli Cozum Sanal Basin

Goz Kapagi Hastaliklari Isimleri Nelerdir Belirtileri Ve Tedavi Cesitleri

Goz Kapagi Hastaliklari Isimleri Nelerdir Belirtileri Ve Tedavi Cesitleri

Source : pinterest.com